Chromosome
Genes and Disease
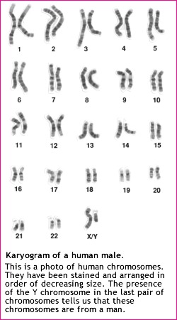
Our genetic information is stored in 23 pairs of chromosomes that vary widely in size and shape.
Chromosome Map

Our genetic information is stored in 23 pairs of chromosomes that vary widely in size and shape. Chromosome 1 is the largest and is over three times bigger than chromosome 22. The 23rd pair of chromosomes are two special chromosomes, X and Y, that determine our sex. Females have a pair of X chromosomes (46, XX), whereas males have one X and one Y chromosomes (46, XY). Chromosomes are made of DNA, and genes are special units of chromosomal DNA. Each chromosome is a very long molecule, so it needs to be wrapped tightly around proteins for efficient packaging.
Near the center of each chromosome is its centromere, a narrow region that divides the chromosome into a long arm (q) and a short arm (p). We can further divide the chromosomes using special stains that produce stripes known as a banding pattern. Each chromosome has a distinct banding pattern, and each band is numbered to help identify a particular region of a chromosome. This method of mapping a gene to a particular band of the chromosome is called cytogenetic mapping. For example, the hemoglobin beta gene (HBB) is found on chromosome 11p15.4. This means that the HBB gene lies on the short arm (p) of chromosome 11 and is found at the band labeled 15.4.
With the advent of new techniques in DNA analysis, we are able to look at the chromosome in much greater detail. Whereas cytogenetic mapping gives a bird's eye view of the chromosome, more modern methods show DNA at a much higher resolution. The Human Genome Project aims to identify and sequence the ~30,000 genes in human DNA.
Chromosome 1
- Contains over 3000 genes
- Contains over 240 million base pairs, of which ~90% have been determined
- See the diseases associated with chromosome 1 in the below image

Chromosome 2
- Contains over 2500 genes
- Contains over 240 million base pairs, of which ~95% have been determined
- See the diseases associated with chromosome 2 in the below image

Chromosome 3
- Contains approximately 1900 genes
- Contains approximately 200 million base pairs, of which ~95% have been determined
- See the diseases associated with chromosome 3 in the below image

Chromosome 4
-
Contains approximately 1600 genes
-
Contains approximately 190 million base pairs, of which ~95% have been determined
- See the diseases associated with chromosome 4 in the below image

Chromosome 5
-
Contains approximately 1700 genes
-
Contains approximately 180 million base pairs, of which over 95% have been determined
- See the diseases associated with chromosome 5 in the below image

Chromosome 6
-
Contains approximately 1900 genes
-
Contains approximately 170 million base pairs, of which over 95% have been determined
- See the diseases associated with chromosome 6 in the below image

Chromosome 7
-
Contains approximately 1800 genes
-
Contains over 150 million base pairs, of which over 95% have been determined
- See the diseases associated with chromosome 7 in the below image

Chromosome 8
-
Contains over 1400 genes
-
Contains over 140 million base pairs, of which over 95% have been determined
- See the diseases associated with chromosome 8 in the below image

Chromosome 9
-
Contains over 1400 genes
-
Contains over 130 million base pairs, of which over 85% have been determined
- See the diseases associated with chromosome 9 in the below image

Chromosome 10
-
Contains over 1400 genes
-
Contains over 130 million base pairs, of which over 95% have been determined
- See the diseases associated with chromosome 10 in the below image

Chromosome 11
-
Contains approximately 2000 genes
-
Contains over 130 million base pairs, of which over 95% have been determined
- See the diseases associated with chromosome 11 in the below image

Chromosome 12
-
Contains over 1600 genes
-
Contains over 130 million base pairs, of which over 95% have been determined
- See the diseases associated with chromosome 12 in the below image

Chromosome 13
-
Contains approximately 800 genes
-
Contains over 110 million base pairs, of which over 80% have been determined
- See the diseases associated with chromosome 13 in the below image

Chromosome 14
-
Contains approximately 1200 genes
-
Contains over 100 million base pairs, of which over 80% have been determined
- See the diseases associated with chromosome 14 in the below image

Chromosome 15
-
Contains approximately 1200 genes
-
Contains approximately 100 million base pairs, of which over 80% have been determined
- See the diseases associated with chromosome 15 in the below image

Chromosome 16
-
Contains approximately 1300 genes
-
Contains approximately 90 million base pairs, of which over 85% have been determined
- See the diseases associated with chromosome 16 in the below image

Chromosome 17
-
Contains over 1600 genes
-
Contains approximately 80 million base pairs, of which over 95% have been determined
- See the diseases associated with chromosome 17 in the below image

Chromosome 18
-
Contains over 600 genes
-
Contains over 70 million base pairs, of which over 95% have been determined
- See the diseases associated with chromosome 18 in the below image

Chromosome 19
-
Contains over 1700 genes
-
Contains over 60 million base pairs, of which over 85% have been determined
- See the diseases associated with chromosome 19 in the below image

Chromosome 20
-
Contains over 900 genes
-
Contains over 60 million base pairs, of which over 90% have been determined
- See the diseases associated with chromosome 20 in the below image

Chromosome 21
-
Contains over 400 genes
-
Contains over 40 million base pairs, of which over 70% have been determined
- See the diseases associated with chromosome 21 in the below image

Chromosome 22
-
Contains over 800 genes
-
Contains over 40 million base pairs, of which approximately 70% have been determined
- See the diseases associated with chromosome 22 in the below image

Chromosome X
-
Contains over 1400 genes
-
Contains over 150 million base pairs, of which approximately 95% have been determined
- See the diseases associated with chromosome X in the below image

Chromosome Y
- Contains over 200 genes
- Contains over 50 million base pairs, of which approximately 50% have been determined
- See the diseases associated with chromosome X in the below image
